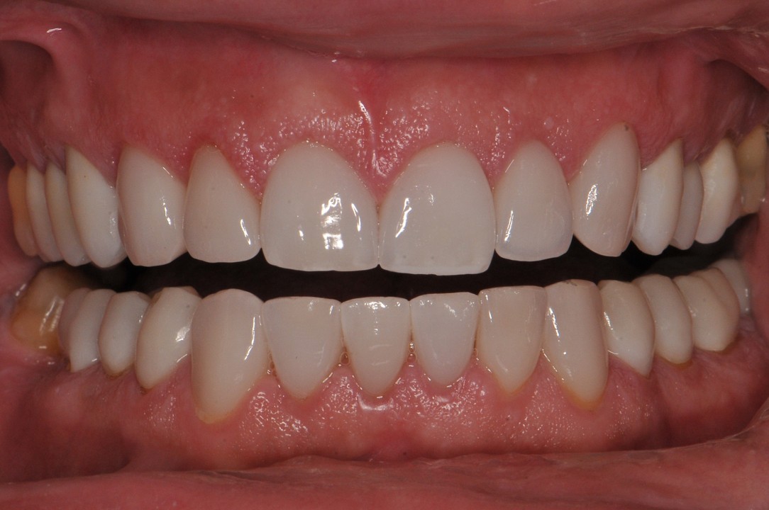
Στεφάνες Πορσελάνης
Αν και η προσπάθειά μας είναι να είμαστε πολύ συντηρητικοί στην αποκοπή των σκληρών οδοντικών ιστών, πολλές φορές είμαστε υποχρεωμένοι να τοποθετήσουμε στεφάνες ολικής κάλυψης για 3 λόγους:
- Ο ασθενής έχει από πριν στεφάνη
- Το δόντι έχει σπάσει
- To δόντι είναι πολύ δυσχρωμικό
Οι στεφάνες που χρησιμοποιούμε είναι ολοκεραμικές στεφάνες, από υποαλλεργικά υλικά. Προσφέρουν αισθητικά ανώτερο αποτέλεσμα από τις συμβατικές.

























































